We Provide
Emergency Dental Services
Rapid Response Same Day Treatments
If you require emergency dental services in Nelson Bay, don’t hesitate to contact us. We offer same-day treatments to help alleviate a range of conditions. Whether you’ve suffered trauma to a tooth, have a painful tooth that requires root canal therapy, or you need an emergency extraction, our compassionate staff will do everything they can to address the issue promptly.
At Nelson Bay Smile On Clinics, we appreciate just how stressful and painful it can be to suffer a dental emergency. That’s why we will spare no effort to make you feel as relaxed as possible while you are with us. We provide sedation for nervous patients, and our Nelson Bay emergency dentists will consult with you at every stage of your procedure.
Contact Nelson Bay Smile On Clinics today on
(02) 4981 1576. We will spare no effort to respond to your needs as soon as possible.
Dental Emergencies We Treat
The following are just a few examples of the emergency conditions treated by our dentists:
- Smashed & cracked teeth
- Wisdom tooth pains
- Injuries to soft tissue (gums, lips, cheeks, etc.)
- Any pain associated with an area of the mouth
- Swelling of the mouth
- Object lodged in teeth
- Dental pain that cannot be alleviated with generic medication
- Toothache
- Teeth that have been pushed out of position (extruded)
- Pain associated with missing teeth
If you are suffering any of the above, please get in touch with us as soon as you can. Treating the issue early may eliminate the need for more costly, time-consuming treatments further down the track.
At Nelson Bay Smile On Clinics, we always spare no effort to provide same-day emergency services. If you would like to find out more about our services, or request a treatment, call us on
(02) 4981 1576.
What to Do in an Emergency
If you or a loved one is suffering a dental emergency, it’s important to keep calm. Although it may not be possible to acquire professional dental services immediately, there are some stopgap measures you can adopt until you are able to see your dentist.
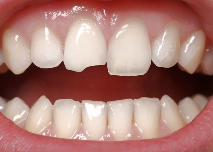
Fractured or Cracked Teeth
If it is a case of fractured or cracked teeth, it is first important to rinse with saltwater to clean the area surrounding the tooth. If the tooth (or a portion of it) has come loose, we recommend bringing it with you when you visit us as we may be able to save it.
Object Lodged in Teeth
We first recommend swishing your mouth with warm salt water, as this may loosen the object. Do not attempt to pry the object free using any instrument – as this may cause further damage to the teeth and gums. If water has no effect, we recommend calling us ASAP.
What to Do in an Emergency
Wisdom Tooth Infection
Pain and swelling associated with wisdom teeth are frequently caused by bacteria or lodged food particles. We recommend you book an appointment with us as soon as you can.
Broken or Cracked Dentures
In the event that your dentures suffer a crack or break apart entirely, it’s important not to attempt to repair the issue yourself. Applying a glue or other adhesive may prove toxic. Instead, we recommend collecting all components of your dentures, sterilising them, and placing them in a plastic container. Next, call our team to arrange emergency denture repairs. We will spare no effort to restore your dentures, and we can replace them if this is not possible.
Book an Emergency Dental Service








